7. Complete Activity 5.7 (Page 53).
• Let us take a glass slide with a drop of water on it. Using an ice-cream spoon gently scrape the inside surface of the cheek. Does any material get stuck on the spoon? With the help of a needle we can transfer this material and spread it evenly on the glass slide kept ready for this. To colour the material we can put a drop of methylene blue solution on it. Now the material is ready for observation under microscope. Do not forget to put a cover-slip on it!
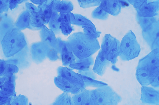
• What do we observe? What is the shape of the cells we see? Draw it on the observation sheet.
Was there a darkly coloured, spherical or oval, dot-like structure near the centre of each cell? This structure is called nucleus. Were there similar structures in onion peel cells?
Answer:
Aim: To observe the cells under the microscope and conclude based on that.
Materials Required: Glass slide, ice-cream spoon, needle, methylene blue, cover-slip, microscope.
Procedure:
(i) Gently place a drop of water on the glass slide.
(ii) Using an ice-cream spoon gently scrape the inner surface of the cheek. Please use caution while doing this.
(iii) Now use the needle to transfer this material and spread it evenly on the glass slide you have already prepared.
(iv) Put a drop of methylene blue solution gently on the material to colour it.
(v) Put a cover-slip on the material gently.
(vi) Observe the material under the microscope.
(vii) Draw the shape of the cells on the observation sheet.
Observations:
- The cells are irregular in shape and resemble flattened polygons.

- Within each cell, a darkly coloured, spherical or oval dot-like structure near the center of each cell is observed.
- There were similar structures in onion peel cells.
Conclusions:
The darkly coloured spherical structure is called the nucleus. Therefore, in addition to plant cells, cells from our own body also contain the nucleus.
“• Let us take a glass slide with a drop of water on it. Using an ice-cream spoon gently scrape the inside surface of the cheek. Does any material get stuck on the spoon? With the help of a needle we can transfer this material and spread it evenly on the glass slide kept ready for this. To colour the material we can put a drop of methylene blue solution on it. Now the material is ready for observation under microscope. Do not forget to put a cover-slip on it!
• What do we observe? What is the shape of the cells we see? Draw it on the observation sheet.
Was there a darkly coloured, spherical or oval, dot-like structure near the centre of each cell? This structure is called nucleus. Were there similar structures in onion peel cells?” – Solved.
Related Links:
Solution to Activity 5.1
Solution to Activity 5.2
Solution to Activity 5.3
Solution to Activity 5.4
Solution to Activity 5.5
Solution to Activity 5.6
Solution to Activity 5.7
Solution to Chapter 5 The Fundamental Unit of Life

